Preventing Cavities Naturally: Best Practices for Dental Care
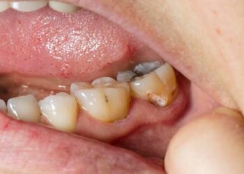
In the quest for optimal oral health, preventing cavities naturally has become a popular approach for many individuals seeking holistic ...
In the quest for optimal oral health, preventing cavities naturally has become a popular approach for many individuals seeking holistic ...

© 2022 Digital News Alerts - Powered By SEO Expert Team .